康美醫院網站|聯系我們
康美醫院開展經皮肺細針穿刺活檢術 ——診斷周圍型肺癌的金标準
您現在的位置是:康美醫院網站 > 新聞動态 > 醫院動态 > 康美醫院開展經皮肺細針穿刺活檢術 ——診斷周圍型肺癌的金标準

康美醫院開展經皮肺細針穿刺活檢術 ——診斷周圍型肺癌的金标準

發布時間:2018-01-22 閱讀:4137
        患者劉某,女,62歲,因“發現頸部淋巴結腫大2月餘”于本月6日入院。檢查雙側頸部可扪及多個大小約1*0.5cm淋巴結,質硬,無壓痛。入院後經胸部CT增強平掃發現右肺上葉腫塊,結合腫瘤标志物檢測,考慮肺癌。



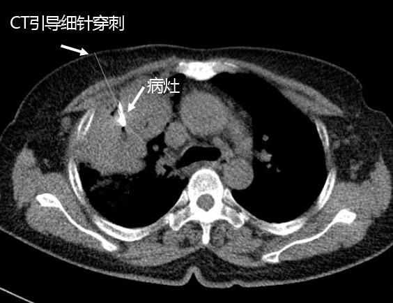
        爲盡早确診肺癌的類型,制定科學的治療方案,内三科李旭丹主任爲患者施行經皮肺細針穿刺活檢術。通過西門子128層CT對腫塊精準定位,李主任娴熟操作穿刺針在最佳穿刺點進針,在CT持續引導下按預定的進針角度和深度,精準到達病竈部位,提取病竈内的細胞做病理學檢查。
        通過病理檢查結果确診爲右肺腺癌,李主任随即根據該型肺癌特點結合患者身體情況,爲其制定個性化治療方案,爲患者争取到了寶貴的治療時機,取得良好治療效果。



        據李主任介紹,如何鑒别肺結節良、惡性,以及如何對肺腫瘤進行病理分型、臨床分期,最終确定采取何種治療方法是肺部腫瘤精準治療的難點,而經皮肺細針穿刺活檢術爲上述難點找到了解決方法。通過CT引導下,行細針穿刺活檢術精準提取病竈内細胞進行病理檢查,被譽爲确診肺腫瘤的金标準。1月份以來我院已經通過此技術确診出2例周圍型肺腺癌、1例周圍型肺鱗癌,爲制定個性化科學治療方案提供依據。同時采用上面方法還确診1例慢性肺膿腫患者,通過抗感染治療後,病竈消失患者康複出院。
        由于周圍型肺癌分型不同,治療方案不同。以往醫學界隻能在患者術後取腫瘤組織送病理檢查,才能确診其良惡性以及對腫瘤分型,即是先手術後确診。而經皮肺穿刺活檢術把診斷提到了前面,即先确診後治療,對周圍型肺腫瘤的診療無疑有重大意義。


        目前省城三甲醫院對符合該術适應症的患者,已經常規開展經皮肺穿刺活檢術,該術不會傷到周圍組織,由CT引導準确提取病竈細胞,整個過程隻需10-20分鍾即可完成,傷口僅針孔大小,術後貼下創可貼并稍作休息即可。微創、快速、準确是細針穿刺活檢術的主要特點。
        康美醫院緊跟醫療技術的發展前沿,利用在地區領先的醫療設備和精湛的技術,爲周圍型肺癌的精準治療打下堅實基礎,爲提高本地區醫療水平貢獻一份力量。

醫院地址:廣東省普甯市流沙新河西路38号 郵政編碼:515300 聯系電話:0663-2787777 傳真号碼:0663-2767511

Copyright © 2011 康美醫院. All rights reserved. 京ICP證000000号醫療機構執行許可證:07190114-844528190A1001

普甯宏圖網絡